
インプラントとは?

入れ歯やブリッジとの違い
インプラント治療は、入れ歯やブリッジと比較して、多くの利点があります。これらの治療法との違いを理解することで、インプラントがどのように優れているかを知ることができます。以下では、各治療法との違いを詳しく解説します。| 特徴 | インプラント | 入れ歯 | ブリッジ |
|---|---|---|---|
| 安定性 | 顎の骨に固定され、非常に安定している。食事や会話中でも不安定になりにくい。 | 取り外し可能で、使用中にずれることがある。安定性に欠ける。 | 隣の歯に固定されており、安定感はあるが、時間が経つと不安定になることがある。 |
| 見た目 | 自然な歯とほぼ変わらない見た目。人工歯が自然に仕上がる。 | 見た目が人工的に感じることがある。特に笑ったときに目立つことがある。 | 自然な見た目だが、隣の歯を削るため、少し不自然に感じることがある。 |
| メンテナンス | 通常の歯のようにブラッシングでケアでき、特別な手間はかからない。 | 取り外して洗浄する必要があり、清潔を保つために手間がかかる。 | 通常の歯のようにケアができるが、隣の歯の状態によってはメンテナンスが必要。 |
インプラントは
こんな方におすすめ
- 歯を失ってしまった方
- 健康な歯を削りたくない方
- 入れ歯の違和感やつけ外しの手間に悩んでいる方
- 硬い食べ物や粘りのある食べ物を自然に食べたい方
- 見た目と機能の両方を改善したい方
当院のインプラント治療に
おける特徴
当院では、デジタルCTスキャナーやサージカルガイド設計システムを活用し、ほとんど切開しないフラップレス手術でインプラントを埋め込むことが可能です(骨造成手術を除く)。これにより、伝統的な切開して骨を確認しながら埋め込む手法と比較し、手術後の腫れや痛みが大幅に減少します。
手術時間も非常に短く、コンピューターを用いた事前シミュレーションや、文書による手術のメリットとデメリットの確認を行うため、患者さまに安心して手術を受けていただけます。
高精度なシミュレーションと
ガイドシステム
術前シミュレーションによりインプラントを埋め込む位置・角度・深さを決定します。インプラント治療は手術を伴います。
そこで処置時のリスクを軽減するため、事前にCTスキャンとコンピューターによるインプラント埋め込みの3Dシミュレーションを行い、インプラントを埋め込む位置・角度・深さ・インプラントのサイズなどを明確にし、手術の安全性を飛躍的に高めています。
手術の際には3Dシミュレーションのデータを元に、サージカルガイドというマウスピース状の器具を作製し、誤差の少ない確実な埋め込みを行います。当院では、エールガイドという高精度のサージカルガイド設計システムを導入しています。エールガイドでは、歯科医師と製作担当技工士がインターネットによる同時遠隔操作を使って直接打ち合わせを行い、設計をダイレクトに確認・指示できるため、インプラントを埋め込む「位置・角度・深さ」など、歯科医師の設計を忠実に再現します。インプラントはほんのわずかなズレがその治療の可否を決めることになります。
エールガイドの精度は誤差0.002mm以内と、患者さまにとって最も理想的な設計で手術に望んでいただけます。
日本人の顎に適した
「ITインプラント」の導入

丁寧なカウンセリング
当院では無料カウンセリングを実施しております。インプラント治療には様々な不安がつきものかと思います。一人ひとりに合った治療計画や料金プランを提供できるよう、納得のいくまで患者さまに寄り添います。経験豊富な医師による治療
当院のインプラント治療は、経験豊富な歯科医師によって行われています。患者様の大切な歯を守るため、最新の技術と知識を駆使し、安全かつ精度の高い治療を提供しています。院長は、日本口腔インプラント学会に所属しており、インプラント治療に関する深い専門知識と経験を持っています。 日本口腔インプラント学会に所属することで、常に最新の技術や情報を取り入れ、患者様に最適な治療を行っています。インプラント治療のメリット
天然歯に近い使用感と審美性
見た目も自然で審美性が高く、噛んだときの違和感や痛みもなく、美しい歯を再現できます。硬い食べ物や粘りのある食べ物に関係なく、食事を楽しむことができます。健康な歯を守れる
ブリッジの施術では隣接する健康な歯を削る必要があり、それらの歯の健康を損なう可能性があります。さらに、ブリッジを支える歯には大きな負担がかかります。また、ブリッジを支えるためには最低でも2本以上の健康な歯が必要となります。しかし、これらの問題はインプラント治療によって改善されます。歯のない部分に直接インプラントを埋め込むため、健康な歯を削る必要はありません。骨の健康を維持
その結果、自然な感覚で咬むことができ、骨の健康を維持することが可能となります。入れ歯の不快感から解放
部分入れ歯の装着には留め金が必要となり、これにより時折痛みを感じる場合があります。さらに、部分入れ歯は異物感や違和感を引き起こす可能性があり、審美性に欠けます。また、粘りのある食べ物や硬い食べ物を食べる際に困難を伴うこともあります。これらの問題もインプラント治療によって改善できます。インプラントは留め金を必要としないため、口内がスッキリし、見た目も自然です。治療後2ヶ月ほどで自然な歯と同様の感覚で噛むことが可能となります。他院で断られた症例も
ご相談ください
当院では、他院で「インプラント治療が難しい」と言われた症例にも対応可能な場合があります。
インプラント治療には、十分な顎の骨の量が必要ですが、もし骨が足りない場合でも、当院では骨造成技術を使用して、インプラント治療を実施できる可能性があります。
サイナスリフト
サイナスリフトとは、インプラントを埋め込むための上顎の骨の高さが不足している場合に行う、骨の再生手術の術式のひとつです。サイナスリフト手術は、上顎洞底部(サイナス)を持ち上げることで、歯を支える骨を増やすことを目的としています。この手術では、まず局所麻酔を行い上顎の骨に小さな窓を作ります。次に、上顎洞底部のソフトな組織を丁寧に持ち上げ、その下に新しい骨を形成するための材料となる骨補填材を挿入します。骨補填材は、時間とともに自然の骨に置き換わることで、インプラントを支える堅固な土台となります。サイナスリフト手術後は、治癒と新しい骨の成長を待つ必要があり、その期間は個人差がありますが、一般的には数ヶ月を要します。最終的に、新たに形成された骨が十分に固まった後で、インプラントを埋め込みます。GBR(Guided Bone Regeneration:誘導骨再生法)
GBRは、インプラント治療を行う際に歯槽骨の量が不足している場合に用いられる、骨再生手法です。歯周病が進行し骨が吸収されたり、歯を抜いた後に骨が減少したりすると、インプラントを支えるための骨が不足することがあります。このような状況では、骨を形成する骨芽細胞よりも、骨にならない線維芽細胞が増えやすいことが問題となります。この問題を解決するために、骨を増やす必要がある箇所を人工的な膜で囲み、その中に自分の骨や合成骨補填材を充填し、骨芽細胞の成長を促進させます。ソケットリフト
骨補填材を使って骨を再生する方法で、必要とされる骨の量が少ない場合に適用される治療法です。この方法では、インプラントの設置と骨の形成を同時に実施することが可能です。ただし、骨の厚さが8mmを超えるケースに限られます。さらに、インプラント用の穴を通し骨補填材を注入するため、手術による傷が最小限に抑えられるというメリットもあります。インプラント治療の流れ
Step01
カウンセリング
治療前に丁寧なカウンセリングを行い、患者様の不安や疑問をしっかり解消します。 治療方法や流れを分かりやすく説明し、最適な治療プランをご提案します。Step02
初回手術
歯茎を開き、骨の中にインプラント(人工歯根)を埋め込みます。Step03
治癒期間
人工歯根部には力を加えず、骨との結合を待ちます。Step04
二回目の手術
人工歯根が骨と結合したら、人工歯を取り付けるための部品を連結し、歯茎から露出させます。Step05
装着・固定
歯の形や色などを決めた後、補綴物が完成すればアバットメントに装着し固定します。Step06
治療後のメンテナンス
インプラント治療後は、定期的なメンテナンスで患者様の歯の健康を守ります。 専門的なケアで長期間の安定をサポートします。インプラント治療費用
- 検査 55,000円(税込)
インプラント システム 京セラFINESIA(ファインシア)
- 埋入 : 275,000円(税込)
- 上部構造 : 165,000円(税込)
- 合計 : 440,000円(税込)
ITインプラント システム
- 埋入 : 385,000円(税込)
- 上部構造 : 165,000円(税込)
- 合計 : 550,000円(税込)
骨造成手術
- サイナスリフト : 220,000円(税込)
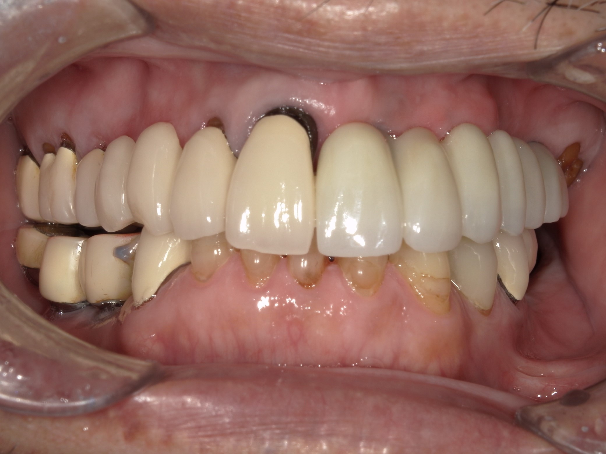
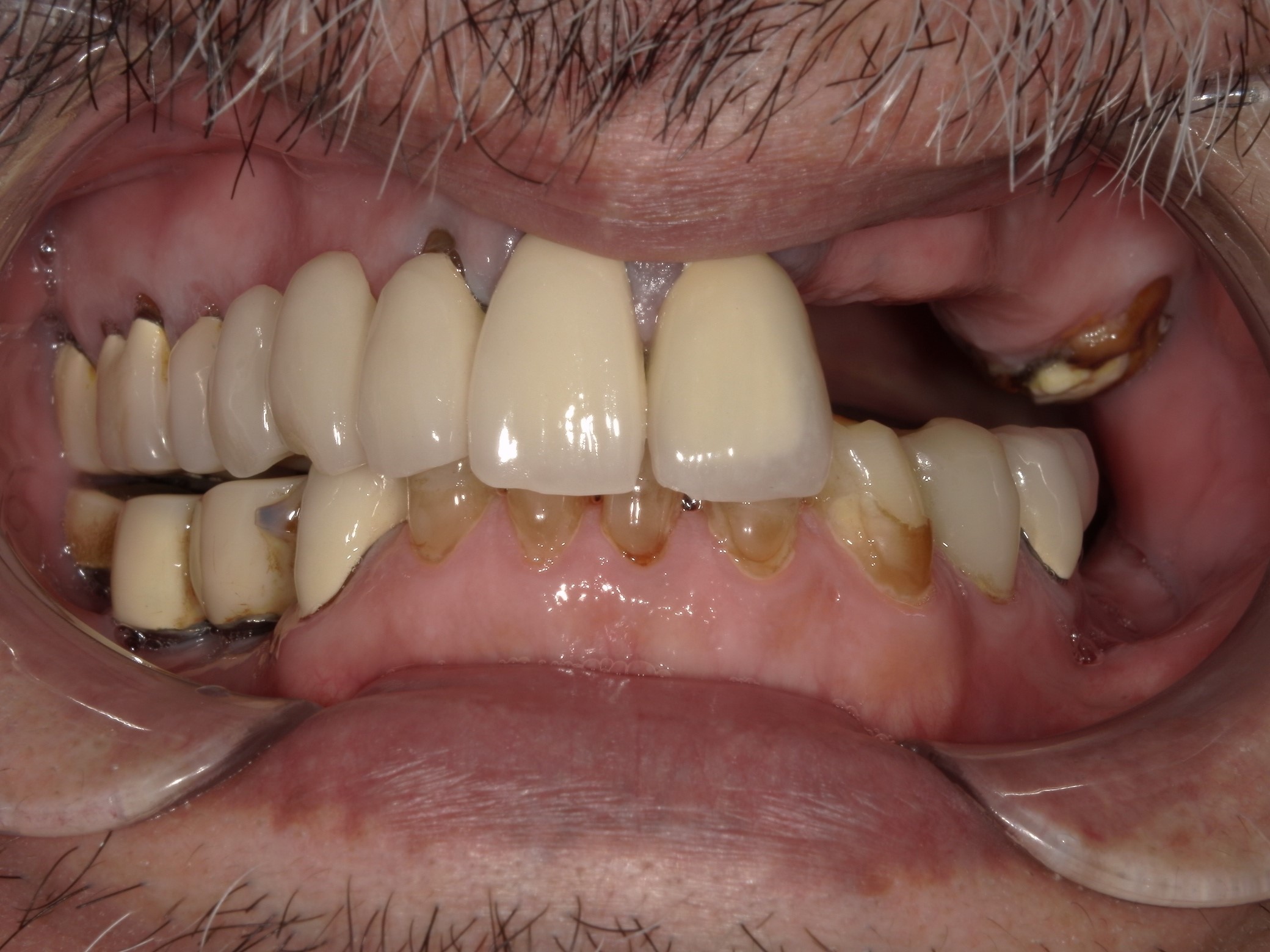
患者様の症例紹介

| 治療名・使用材料 | 京セラファインシアインプラント、ジルコニアクラウン、エールガイド |
|---|---|
| 治療内容 | 歯を失った場所にチタン製の人工歯根を埋込み、その上にクラウンを被せて歯を修復する。 |
| 治療期間・回数 | 1年3か月(上部構造SETまでの期間) |
| 費用 |
|
| リスク・副作用 |
|

| 治療名・使用材料 | 京セラファインシアインプラント、ジルコニアクラウン、エールガイド |
|---|---|
| 治療内容 | 歯を失った場所にチタン製の人工歯根を埋込み、その上にクラウンを被せて歯を修復する。 |
| 治療期間・回数 | 1年6か月(上部構造SETまでの期間) |
| 費用 |
|
| リスク・副作用 |
|


011-699-5775
WEB予約