症例紹介CASE

e-maxクラウン(自由診療の被せ物)

40代男性。
歯の形・隙間・色味にお悩みということで、当クリニックに来院してくれました。前歯の隙間に長年お悩みでしたが、担当医としっかりとカウンセリングを行い、e-maxクラウンでの補綴をご選択いただきました。
治療するなら、色味も綺麗なものをとのことで白さ・透明性に優れているe-maxでのご案内となりました。
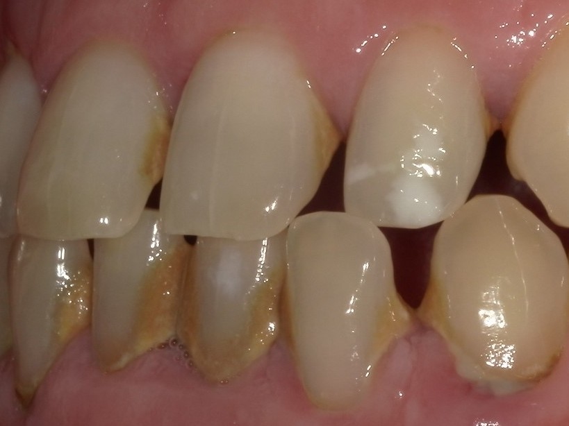
e-maxクラウン(自由診療の被せ物)

治療前

e-maxクラウン(自由診療の被せ物)

治療後

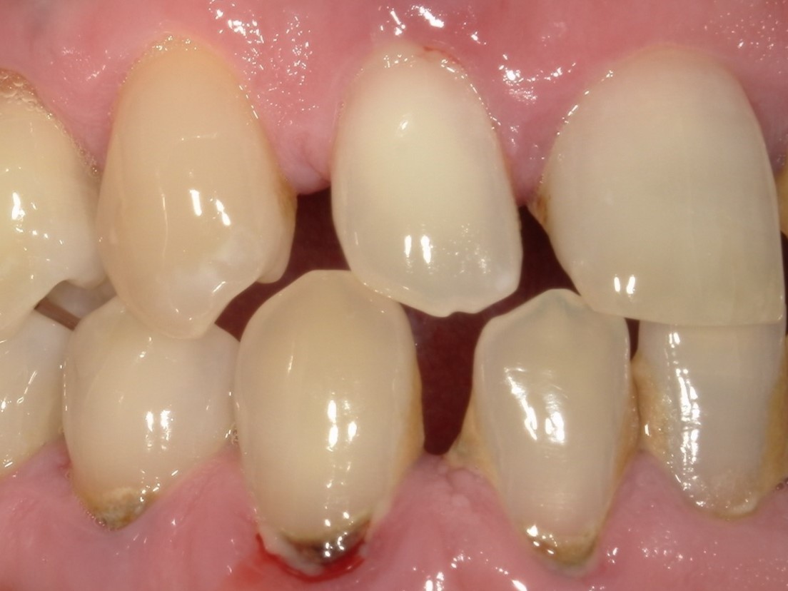
e-maxクラウン(自由診療の被せ物)

治療前

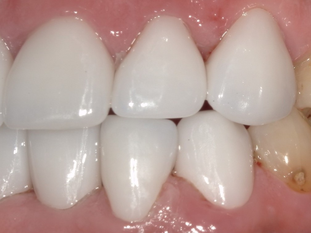
e-maxクラウン(自由診療の被せ物)

治療後

e-maxクラウン(自由診療の被せ物)

治療前

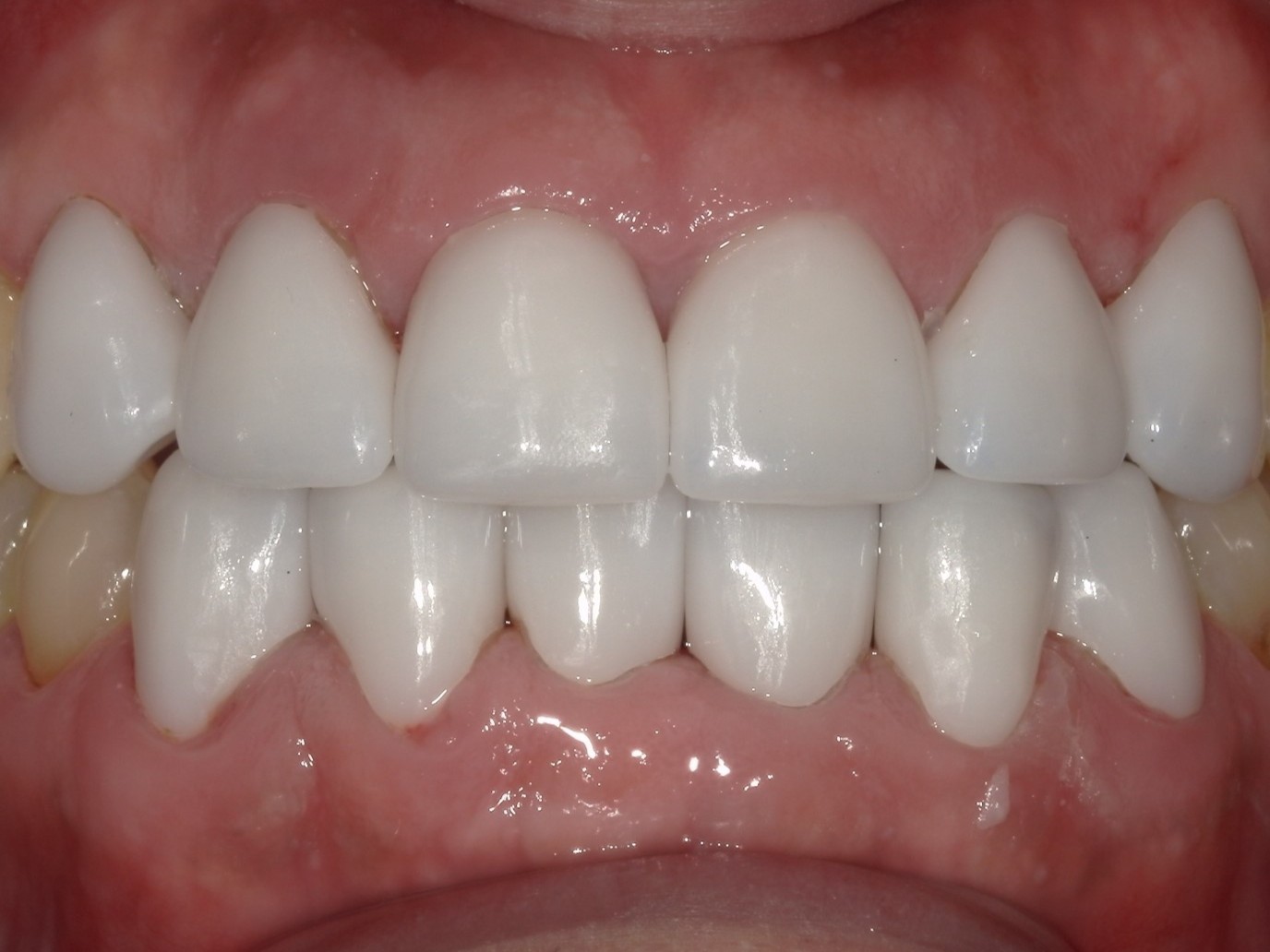
e-maxクラウン(自由診療の被せ物)

治療後

治療内容 ・e-maxクラウン(自由診療の被せ物)
治療期間・回数 通院回数:2回
費用 e-maxクラウン(12歯):¥1.320.000
リスク・副作用 歯ぎしりなどが強い場合、被せ物が外れることがあります。
大きく歯並びを変える際に、神経の治療が必要となることがあります。
その他 院内技工士在中のため、ご予約時間をすり合わせることで当日or翌日にはSET可能です。
詳しくは、お電話等お待ちしております。
診療時間
10:00~14:00 ×
15:00~19:00 20:00 20:00 18:00 ×
  • 診療時間10:00-14:00 / 15:00-19:00(月・火・金)
    10:00-14:00 / 15:00-20:00(水・木)
    10:00-14:00 / 15:00-18:00(土)
  • 定休日日・祝日

〒064-0822
北海道札幌市中央区北2条西28丁目1−26
エストラーダ円山 2階

  • 地下鉄地下鉄東西線西28丁目駅3番出口より徒歩3分
  • バス北1条西27丁目バス停より徒歩3分
  • お車環状通りを直進すると通り沿いに大きな看板が見えますので、そこからお入りください。右手にセカンドストリート、セブンイレブン。左手にツルハの入っているビルが当院です。駐車場は180分無料でご利用いただけますのでお帰りの際にお声がけください。
WEB予約 インビザライン専門サイト
インビザライン専門サイト