矯正歯科
叢生 反対咬合 インビザライン 歯科矯正
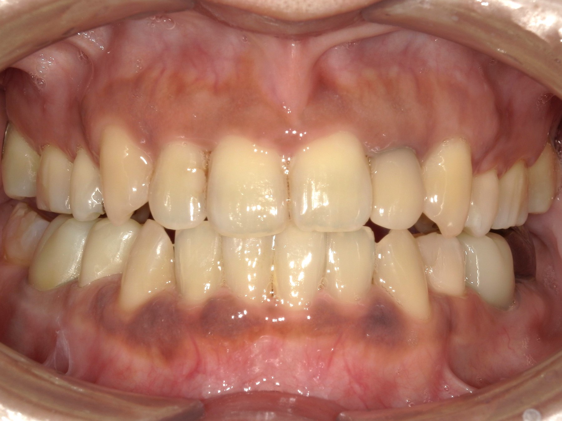
反対咬合による噛み合わせにお悩みの患者様です。
まずは虫歯治療を行ってほしいとのことで来院していただいており、定期検診に移行する前に、
やはり嚙み合わせを治したいとのことで、インビザライン矯正に進まれました。
インビザライン(中程度)矯正を行いました。
まずは虫歯治療を行ってほしいとのことで来院していただいており、定期検診に移行する前に、
やはり嚙み合わせを治したいとのことで、インビザライン矯正に進まれました。
インビザライン(中程度)矯正を行いました。
治療前
治療後
| 治療内容 | 反対咬合による噛み合わせのお悩みがあり、インビザライン(中程度)矯正での治療を行いました。 |
| 治療期間・回数 | 治療期間:11か月 |
| 費用 | クリンチェック:33.000円 インビザライン(モデレートパッケージ):630.000円 リテーナー:33.000円 |
| リスク・副作用 | マウスピース矯正は1日20~22時間の装着が必要です。 装着時間が短い場合、治療計画通りに動かない場合があります。 治療後も既定の時間保定を行わないと後戻りすることがあります。 |


011-699-5775
WEB予約