症例紹介CASE

矯正歯科

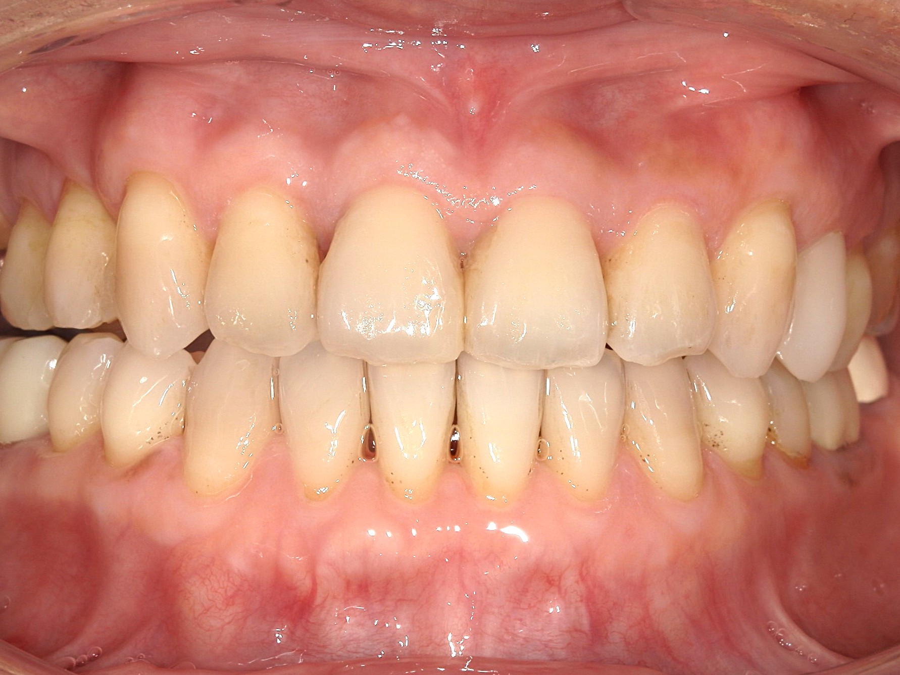
マウスピース矯正 反対咬合(受け口)

50代女性で、反対咬合・受け口にお悩みの患者様でした。
マウスピース矯正で治療を行い、非抜歯で歯並びを整えています。
マウスピースの枚数期間は2年でした。
マウスピース矯正 反対咬合(受け口)

治療前

マウスピース矯正 反対咬合(受け口)

治療後

治療内容 マウスピース矯正を行いました。
治療期間・回数 治療期間:2年
費用 マウスピース矯正:854,000円
診療時間
10:00~14:00 ×
15:00~19:00 20:00 20:00 18:00 ×
  • 診療時間10:00-14:00 / 15:00-19:00(月・火・金)
    10:00-14:00 / 15:00-20:00(水・木)
    10:00-14:00 / 15:00-18:00(土)
  • 定休日日・祝日

〒064-0822
北海道札幌市中央区北2条西28丁目1−26
エストラーダ円山 2階

  • 地下鉄地下鉄東西線西28丁目駅3番出口より徒歩3分
  • バス北1条西27丁目バス停より徒歩3分
  • お車環状通りを直進すると通り沿いに大きな看板が見えますので、そこからお入りください。右手にセカンドストリート、セブンイレブン。左手にツルハの入っているビルが当院です。駐車場は180分無料でご利用いただけますのでお帰りの際にお声がけください。
WEB予約 インビザライン専門サイト
インビザライン専門サイト