症例紹介CASE

審美歯科

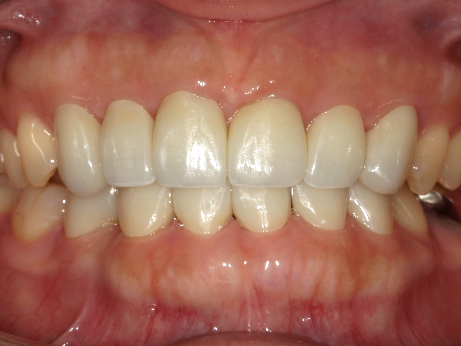
ジルコニアクラウン(自由診療の被せ物)

30代女性。
前歯の根の治療を他院では抜歯をしなければいけないとのことで、当クリニックに受診してくれました。
根の治療が終了し、被せ物・歯並びについて再度カウンセリングをさせていただいたところ、ジルコニアクラウンをご選択いただきました。
歯の形・隙間についても担当医としっかりお話をし、ご満足いただけました。
ジルコニアクラウン(自由診療の被せ物)

治療前

ジルコニアクラウン(自由診療の被せ物)

治療後

ジルコニアクラウン(自由診療の被せ物)

治療前

ジルコニアクラウン(自由診療の被せ物)

治療後

治療内容 ・自由診療の被せ物(ジルコニアクラウン)
治療期間・回数 ジルコニアクラウン(通院回数:2回)
(形成・型取りを午前中に行い、翌日にSET。※院内技工士在中のため)
費用 ジルコニアクラウン(12歯):¥1.320.000
ファイバーポスト(コア):¥11.000
リスク・副作用 歯ぎしりなどが強い場合、被せ物が外れることがあります。
大きく歯並びを変える際に、神経の治療が必要となることがあります。
その他 院内技工士在中のため、ご予約時間をすり合わせることで当日or翌日にはSET可能です。
詳しくは、お電話等お待ちしております。
診療時間
10:00~14:00 ×
15:00~19:00 20:00 20:00 18:00 ×
  • 診療時間10:00-14:00 / 15:00-19:00(月・火・金)
    10:00-14:00 / 15:00-20:00(水・木)
    10:00-14:00 / 15:00-18:00(土)
  • 定休日日・祝日

〒064-0822
北海道札幌市中央区北2条西28丁目1−26
エストラーダ円山 2階

  • 地下鉄地下鉄東西線西28丁目駅3番出口より徒歩3分
  • バス北1条西27丁目バス停より徒歩3分
  • お車環状通りを直進すると通り沿いに大きな看板が見えますので、そこからお入りください。右手にセカンドストリート、セブンイレブン。左手にツルハの入っているビルが当院です。駐車場は180分無料でご利用いただけますのでお帰りの際にお声がけください。
WEB予約 インビザライン専門サイト
インビザライン専門サイト