症例紹介CASE

ホワイトニング審美歯科

オフィスホワイトニング

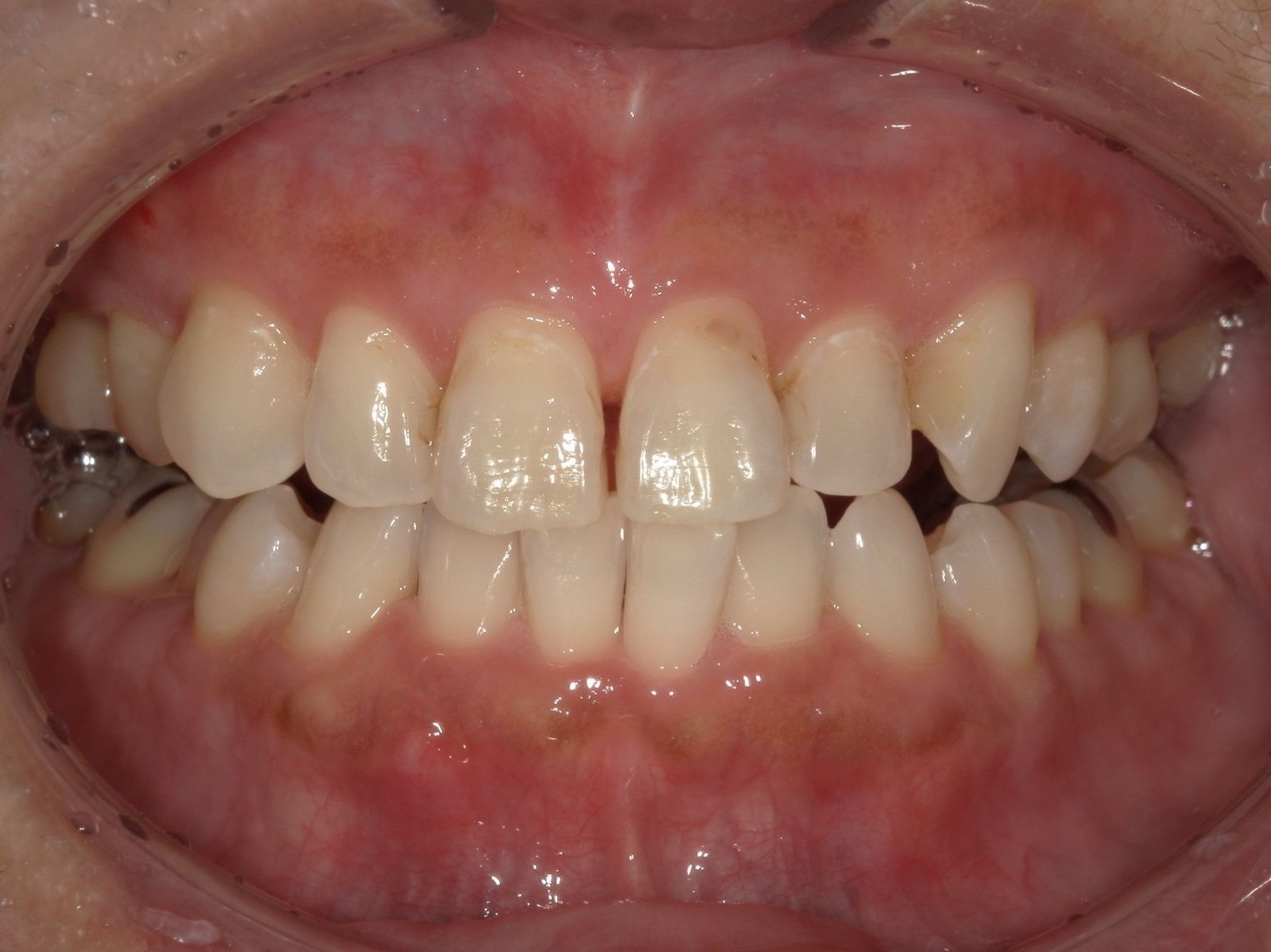
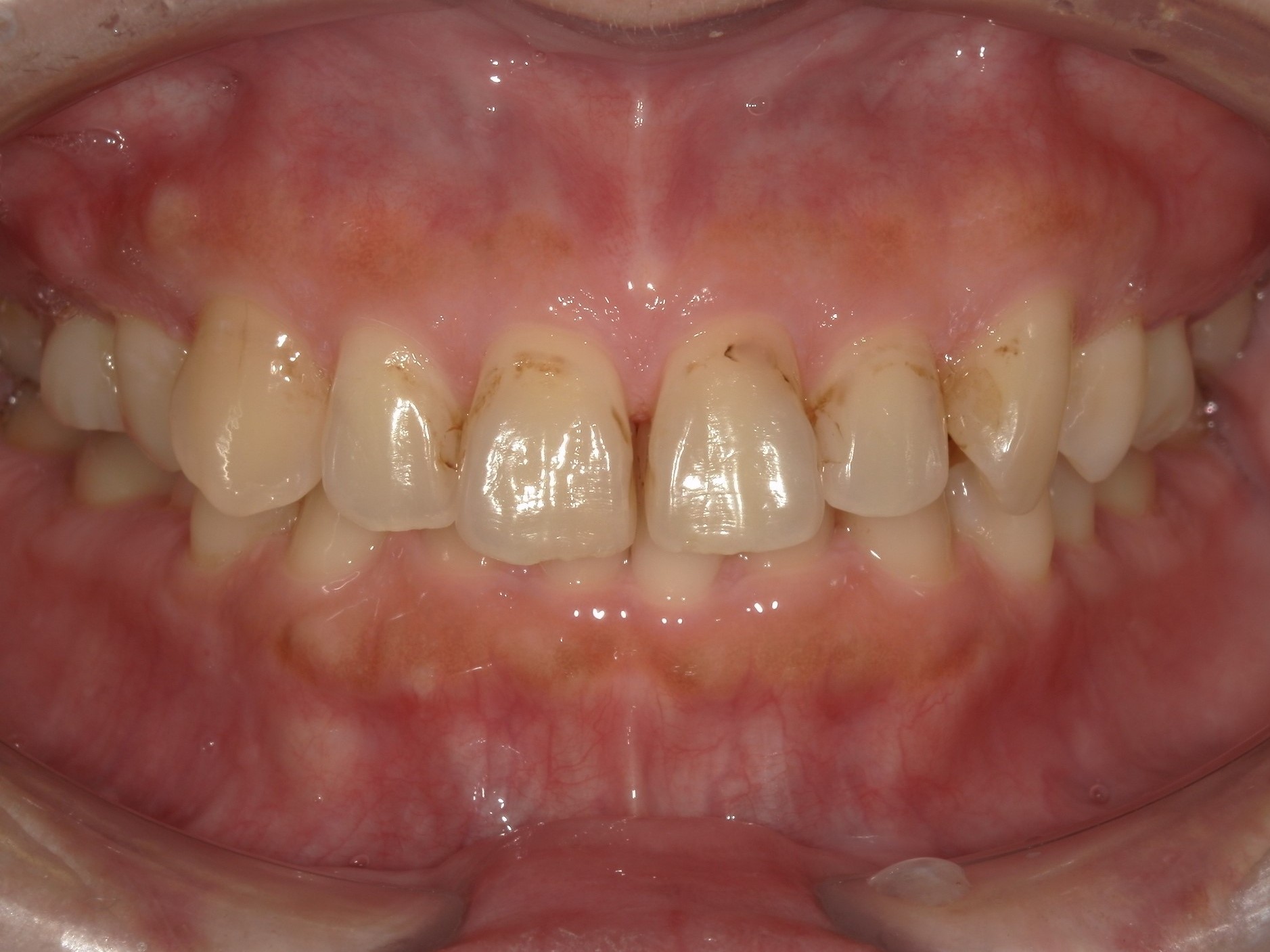
50代女性。全体的に黄ばみが気になっており紅茶やコーヒーを常飲しているのでホワイトニングに興味がある。上の前歯の隙間はホワイトニング後に治療を行った。ホワイトニングを計3回行い1.5~2トーン上がった。
オフィスホワイトニング

治療前

オフィスホワイトニング

治療後

治療内容 オフィスホワイトニング
治療期間・回数 計3回
費用 1回 15.000円×3回
リスク・副作用 ・知覚過敏の症状がある方は冷たいものがしみる、熱いものがしみるなどの症状が出ることがあります。知覚過敏はホワイトニング後、数日から数週間で治まることが多いです。
・歯の構造や厚みによって、ホワイトニング剤の効果が出にくい部分があり、色ムラが発生することがあります。
・ホワイトニングの効果は、永久的なものではありません。生活習慣や食生活によって、徐々に元の色に戻っていきます。
診療時間
10:00~14:00 ×
15:00~19:00 20:00 20:00 18:00 ×
  • 診療時間10:00-14:00 / 15:00-19:00(月・火・金)
    10:00-14:00 / 15:00-20:00(水・木)
    10:00-14:00 / 15:00-18:00(土)
  • 定休日日・祝日

〒064-0822
北海道札幌市中央区北2条西28丁目1−26
エストラーダ円山 2階

  • 地下鉄地下鉄東西線西28丁目駅3番出口より徒歩3分
  • バス北1条西27丁目バス停より徒歩3分
  • お車環状通りを直進すると通り沿いに大きな看板が見えますので、そこからお入りください。右手にセカンドストリート、セブンイレブン。左手にツルハの入っているビルが当院です。駐車場は180分無料でご利用いただけますのでお帰りの際にお声がけください。
WEB予約 インビザライン専門サイト
インビザライン専門サイト