症例紹介CASE

矯正歯科

インビザライン矯正 

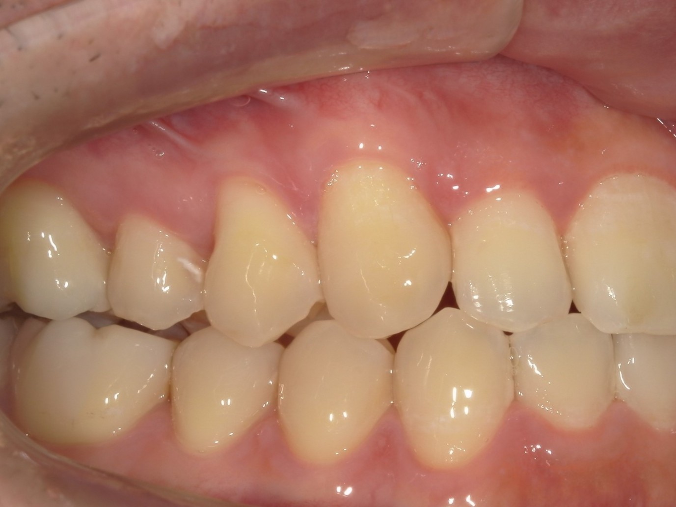
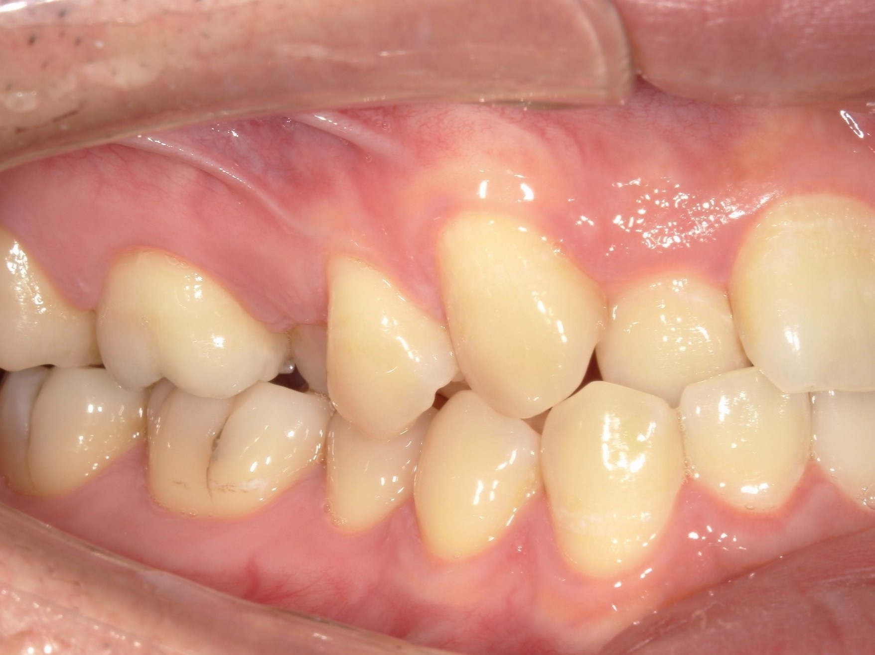
20代男性の方で、叢生・全体的な歯並び(不揃い・ガタガタ・不正咬合)が気になる患者様です。
歯が重なり合う状態は、見た目の問題だけではなく歯磨きが難しくなり虫歯や歯周病を引き起こすリスクにもなるため、インビザライン(重程度)矯正を行いました。
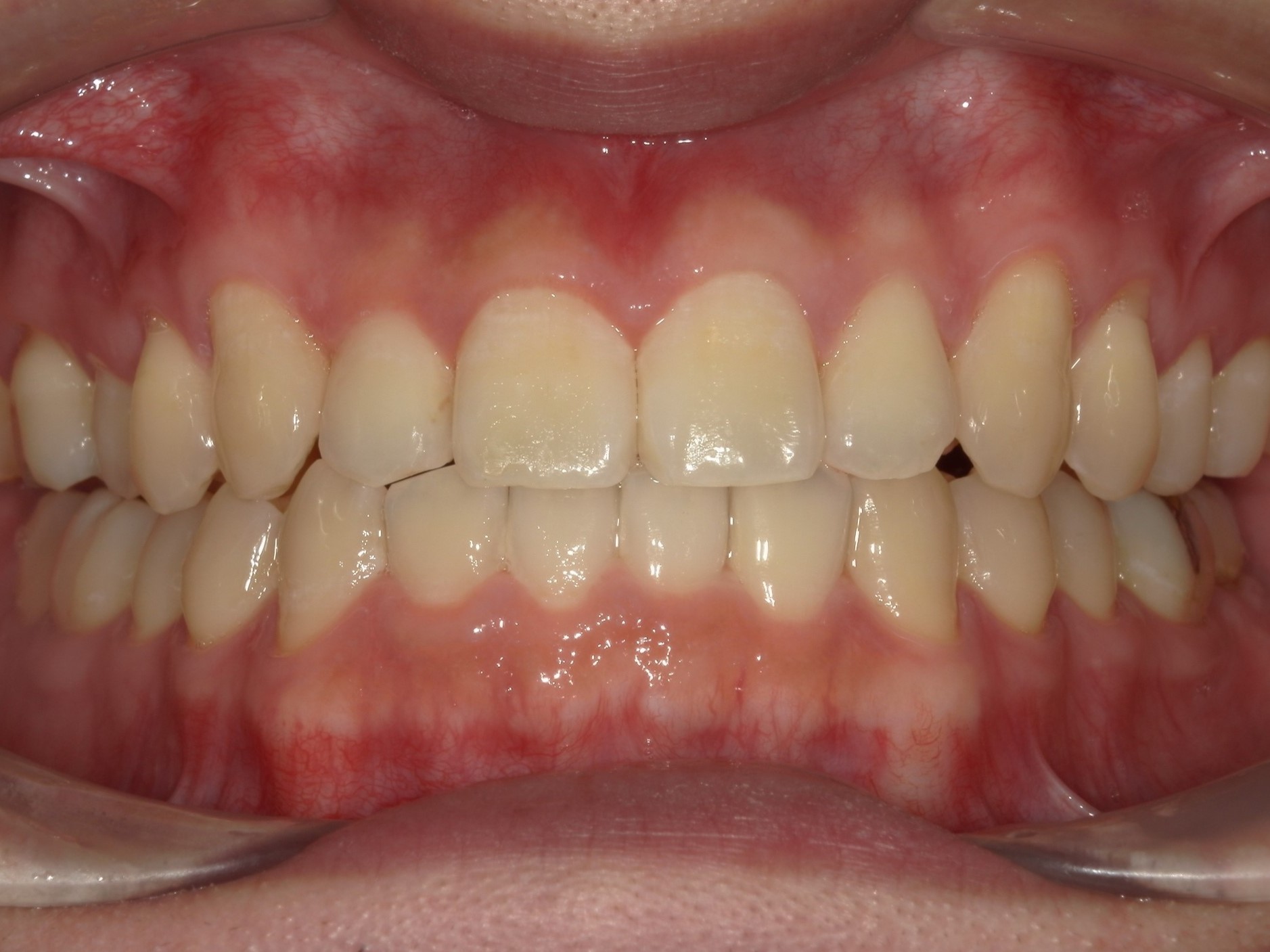
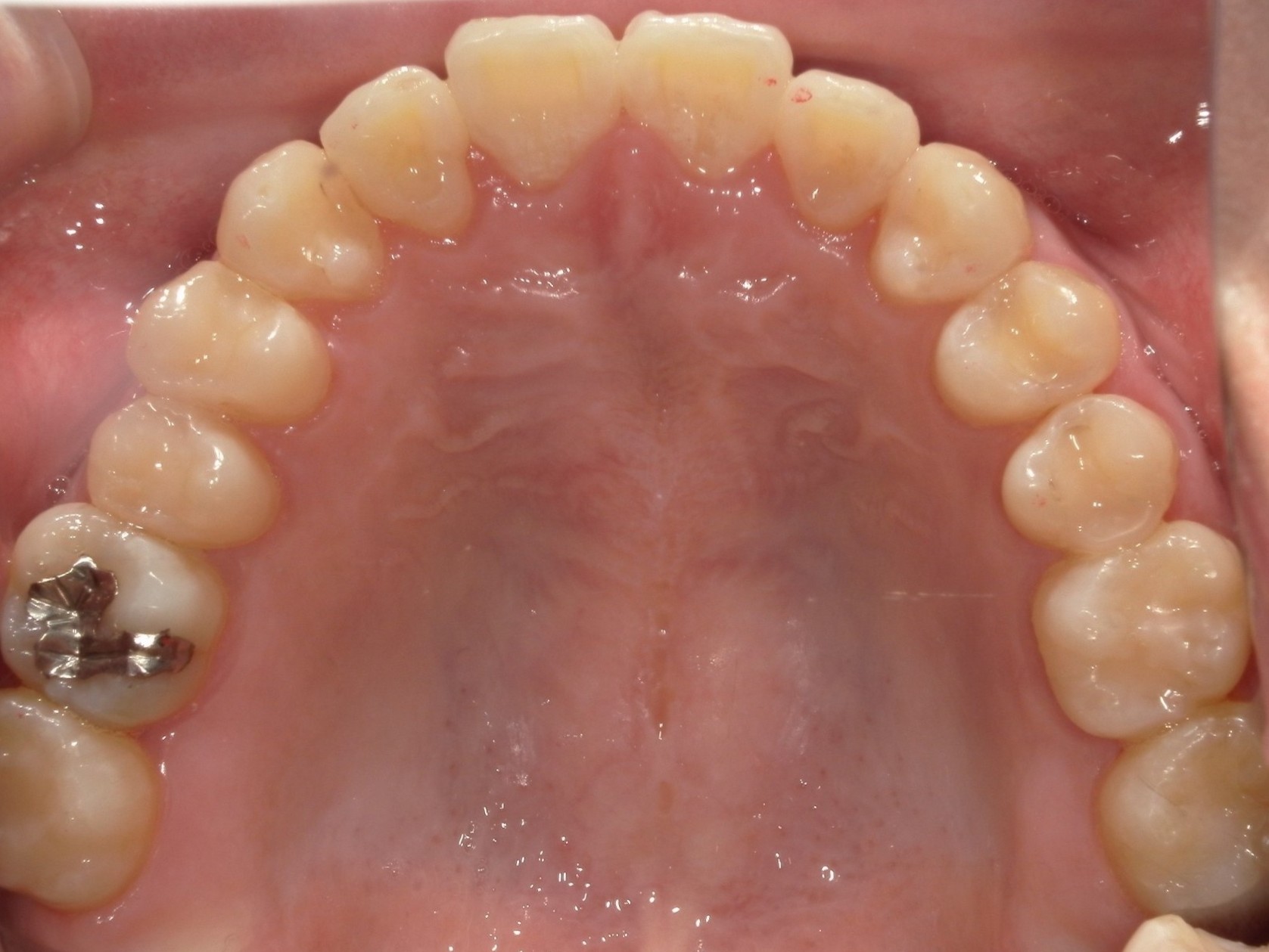
治療期間は約1年半、枚数は89枚です。
インビザライン矯正 

治療前

インビザライン矯正 

治療後

インビザライン矯正 

治療前

インビザライン矯正 

治療後

インビザライン矯正 

治療前

インビザライン矯正 

治療後

治療内容 歯が重なり合う状態は、見た目の問題だけではなく歯磨きが難しくなり虫歯や歯周病を引き起こすリスクにもなるため、インビザライン(重程度)矯正を行いました。
左右の下顎智歯(親知らず)抜歯をしました。
治療期間は約1年半、枚数は89枚です。
治療期間・回数 治療期間:約1年半
通院回数:1か月毎に定期検査を行います。
マウスピース枚数:89枚(追加アライナー2回行いました。)

費用 クリンチェック:33.000円
インビザライン(コンプリヘンシブパッケージ):835.000円
※令和5年時の金額です。現在は930.000円です。
メンテナンス(定期検診):1か月毎 5.500円
リテーナー:33.000円
リスク・副作用 ・マウスピース矯正は1日20~22時間装着する必要があります。
 装着時間が短い場合、当初の治療計画通りに動かない場合があります。
・歯磨きが難しくなる時期があります。ブラッシング指導を行いますが、
 虫歯や歯周病になるリスクが高くなります。
 (1か月毎のメンテナンスで、しっかりと確認いたします。)
・歯の移動によって、歯肉の退縮や三角空隙が生じる場合があります。
その他 ・治療期間は診断時(クリンチェック)に予定した期間を超える場合があります。
・新しいマウスピースに換えた際、歯の違和感や軽い痛みが数時間~数日出る場合があります。
・装着時間や歯周組織の状態により、予測通りの歯の動きが達成されない場合があります。
・矯正治療終了後、リテーナー(保定装置)を担当医の指示通りの期間装着してください。
診療時間
10:00~14:00 ×
15:00~19:00 20:00 20:00 18:00 ×
  • 診療時間10:00-14:00 / 15:00-19:00(月・火・金)
    10:00-14:00 / 15:00-20:00(水・木)
    10:00-14:00 / 15:00-18:00(土)
  • 定休日日・祝日

〒064-0822
北海道札幌市中央区北2条西28丁目1−26
エストラーダ円山 2階

  • 地下鉄地下鉄東西線西28丁目駅3番出口より徒歩3分
  • バス北1条西27丁目バス停より徒歩3分
  • お車環状通りを直進すると通り沿いに大きな看板が見えますので、そこからお入りください。右手にセカンドストリート、セブンイレブン。左手にツルハの入っているビルが当院です。駐車場は180分無料でご利用いただけますのでお帰りの際にお声がけください。
WEB予約 インビザライン専門サイト
インビザライン専門サイト