矯正歯科
インビザライン 歯並びが気になる(1本出っ歯)
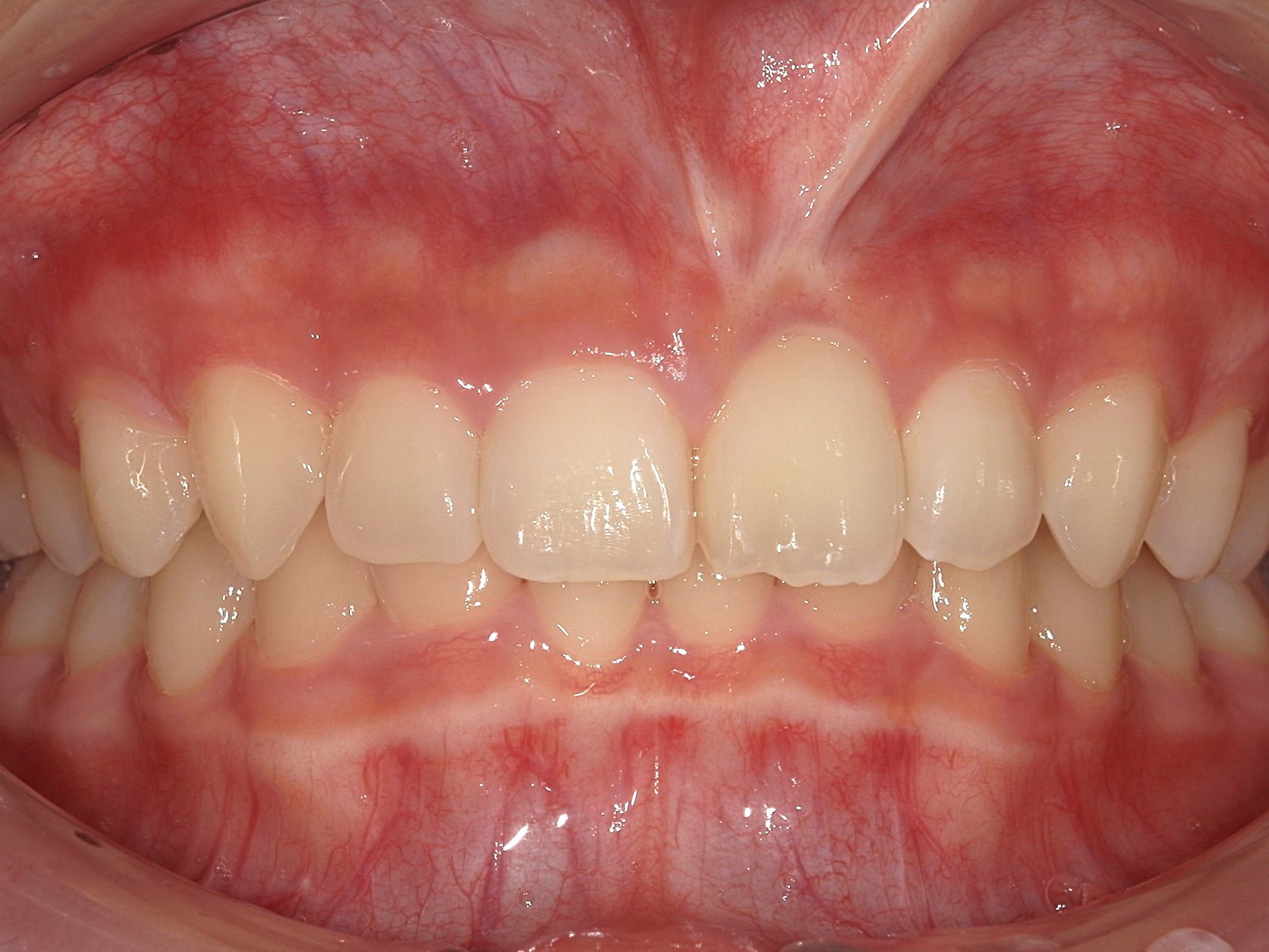
10代女性の患者様で、前歯が1本だけ飛び出ていることにお悩みでした。
インビザライン矯正(中程度)を行い、お悩みの前歯とともに全体的な歯並びを整えました。
強制終了後は、友達と写真を撮るときも口元を隠す必要がなくなったと喜んでいただけました。
インビザライン矯正(中程度)を行い、お悩みの前歯とともに全体的な歯並びを整えました。
強制終了後は、友達と写真を撮るときも口元を隠す必要がなくなったと喜んでいただけました。
治療前
治療後
| 治療内容 | インビザライン矯正(中程度)を行い、患者様がお悩みの前歯とともに全体的な歯並びを整えました。 |
| 治療期間・回数 | インビザライン矯正:8か月 |
| 費用 | クリンチェック:33.000円 インビザライン(モデレートパッケージ):630,000円 リテーナー:33.000円 |
| リスク・副作用 | マウスピースは一日20時間以上装着する必要があります。 最初の計画通りに治療が進まないことがあります。 |


011-699-5775
WEB予約