症例紹介CASE

矯正歯科

インビザライン 歯並びが気になる 叢生 ガタガタ歯並び

10代女性、歯並びがガタガタしているのが気になっている患者様です。
インビザライン(中程度)矯正を行いました。
インビザライン 歯並びが気になる 叢生 ガタガタ歯並び

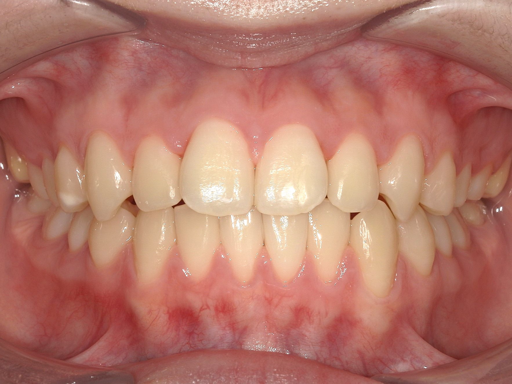
治療前

インビザライン 歯並びが気になる 叢生 ガタガタ歯並び

治療後

治療内容 歯並びがガタガタしているのが気になるとのことで、
インビザライン矯正を行いました。
治療期間・回数 9か月
費用 クリンチェック:33.000円
インビザライン(モデレートパッケージ):630,000円
リテーナー:33.000円
リスク・副作用 マウスピース矯正は1日20~22時間の装着が必要手なるため、装着時間が短い場合治療計画通りに動かない場合があります。
診療時間
10:00~14:00 ×
15:00~19:00 20:00 20:00 18:00 ×
  • 診療時間10:00-14:00 / 15:00-19:00(月・火・金)
    10:00-14:00 / 15:00-20:00(水・木)
    10:00-14:00 / 15:00-18:00(土)
  • 定休日日・祝日

〒064-0822
北海道札幌市中央区北2条西28丁目1−26
エストラーダ円山 2階

  • 地下鉄地下鉄東西線西28丁目駅3番出口より徒歩3分
  • バス北1条西27丁目バス停より徒歩3分
  • お車環状通りを直進すると通り沿いに大きな看板が見えますので、そこからお入りください。右手にセカンドストリート、セブンイレブン。左手にツルハの入っているビルが当院です。駐車場は180分無料でご利用いただけますのでお帰りの際にお声がけください。
WEB予約 インビザライン専門サイト
インビザライン専門サイト